2026年04月17日
小児矯正
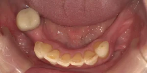
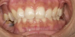
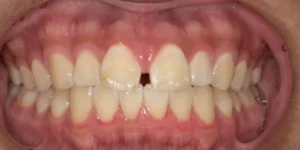
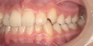
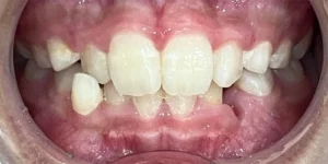
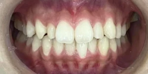
小児矯正で二期治療をやらないとどうなる?やらなくて良い・やるべきケースをご紹介
C&C美原デンタルクリニックは
歯科全科を高水準で提供する総合歯科クリニックです
C&CはCare予防とCure治療の頭文字。
「予防」を全ての医療の「礎」と位置付けています

商業施設内の
利便性の高い歯医者

土曜も診療しており、
忙しい方も安心

駐車場完備で
通院も楽々



26.04.17
歯科コラム
26.04.14
歯科コラム
患者樣一人一人に合わせた治療方法をご提案
| 診療時間 | 月 | 火 | 水 | 木 | 金 | 土 | 日 | |
|---|---|---|---|---|---|---|---|---|
| 09:30~17:30 | ● | ● | ● | - | ● | ● | - |
※休診日:木曜・日曜・祝日

〒587-0002
大阪府堺市美原区黒山1008番地
ビバモール美原南インター
メディカルゾーン2F
電車でお越しの方
近鉄「河内松原駅」より
近鉄バスで「国道黒山」下車徒歩1分
車でお越しの方
岸和田方面から阪和道美原南ICより約3分

幅広い治療に対応可能
当クリニックでは、全ての患者様に予防の方法をお伝えし、実践のサポートをします。治療を完了された患者様には、毎日のお口のケアによって、再治療の必要が起きないことを目指します。
保険治療(保険が適用される治療)の初診費用は、健康保険3割負担適用で、
おおよそ3,000〜5,000円です。
※治療処置内容により変動あり
保険治療、自費治療ともに現金、クレジット、QR決済、電子マネーが使えます。

診療の礎を「予防」に置く
小児歯科、矯正歯科、審美歯科、歯周病治療、インプラント...全ての治療のベースにあるのは「予防」です。
「悪くなったら歯医者さんに行く。治療が済めば歯医者に行かなくなる。悪くなればまた歯医者に行く。」
この繰り返しでは、歯とお口の健康を維持することはできません。
歯を失う主な原因である病気=虫歯と歯周病には、予防の方法が確立されています。
当クリニックでは、全ての患者様に予防の方法をお伝えし、実践のサポートをします。
治療を完了された患者様には、毎日のお口のケアによって、再治療の必要が起きないことを目指します。
歯を削ったことのないお子様には、虫歯で歯を削ることがないように、カリエスフリー(虫歯が1本もない状態)を目指します。


当院では、小児歯科・小児矯正には特に力を入れており、お子様が多数ご来院されます。そのため、セサミストリートクリニックメンバーに加盟し、院内にセサミストリートのキャラクターやセサミストリートの世界観を作り出しており、治療の際にお子様が楽しめるような工夫をしています。

歯医者は歯が痛くなったら行く場所ではなく、痛くならない様に悪くならない様にする場所と考えています。自分の歯で生涯モノを噛める状態にすることを目指しています。

自費診療に限らず保険診療においても、毎日C&Cデンタルクリニックグループ医院間でカンファレンスを行っています。様々な専門分野で研鑽を積んでいる歯科医師と意見交換を行うことで、多角的な視野での判断、知見の蓄積が可能となり、患者様一人一人に合わせたベストな治療を行うことが可能です。

デジタルデンティストリー(コンピューター支援による歯科治療)を積極的に導入しております。光学式スキャナー等を利用することにより、歯型採取をより正確に、患者様の負担が少なくかつ失敗の少ない方法により精度の高い歯科治療を提供することが出来ます。

初診時のカウンセリングや治療提案・治療計画をサポートするコーディネーターが在籍し、カウンセリングを行います。医師には聞きづらいことなど後から電話で確認される患者様も多くいらっしゃいます。当院ではすぐに患者様が疑問点不安なこと等を気軽に聞くことの出来る環境を作っています。

当院は、ビバモール美原南にありますので、駐車場台数も多くあり、車でも通院しやすいクリニックです。また、土曜も診療を行っており、平日の通院が難しい方でもお気軽にご来院頂けます。


自分らしい人生が送れるように
皆様初めまして。
この度、C&C美原デンタルクリニックの院長を務めます杉田彰久です。
本院である堺市南区のC&Cナカイデンタルクリニックにて、泉北を予防先進地域に、泉北で歯科先進治療を理念にこれまで研鑽をつみ16年目を迎えました。
一般診療はもちろん、インプラント、ホワイトニング、歯周組織再生治療を含めた歯周病治療、成人および小児矯正等の各種先進医療を幅広く診療しております。
特に歯周外科治療とマウスピース矯正においては得意としている分野であり、研修や学会にも積極的に参加して参りました。
口腔内の診察に加え、ご希望を伺い、不安や悩みをお聞きする事で、幅広い治療計画のなかから患者様にベストな治療方針を一緒に考え、治療を進めて参ります。
小さなお子様から大人の方まで地域の皆様に安心して通っていただけるかかりつけ歯科医を目指し、日々努めて参ります。
C&C美原デンタルクリニック 院長杉田 彰久

お電話またはWEB予約にて、お悩みの内容と来院のご希望日時をお伝えください。

受付にて診察券・または保険証をお渡しください。初めて来院される方は問診表をご記入いただきます。

診療時間をしっかりと確保し、患者さんの不安が少しでも取り除けるよう、丁寧にお話を伺います。

症状・必要に応じて各種検査を行い、的確な診査・診断をいたします。




マイクロスコープ
肉眼で確認しにくい場所まで確認出来る為、治療の精度、成功率がアップします。肉眼の20倍~30倍の視野を拡大出来る為、今まで治癒しなかった要因が判明し治療方針が明確になります。視野が拡大されるため削る場所も小さく出来る為患者様の負担も小さくなります。
歯科用CT
従来のレントゲンと異なり、骨や歯根の形状・神経・血管の位置を3次元的にとらえることが可能です。また、低い被曝量で撮影ができ、各種治療にあたる際に精度の高い診査、診断が可能となります。
iTero
光学式口腔スキャナーなので、 従来の歯型採取のように直接歯に粘土を押しつけることが有りませんので、患者様への負担が大きく減少しました。嘔吐反射の心配もありませんし、採取のミスも大きく減少しより正確な採取が可能となります。また、当院で使用している最新のiTeroには虫歯を検知する機能がついており、お子様の小さな虫歯や隠れた虫歯をレントゲンを使用せず検出することが可能となっております。
セファロ
矯正治療をするにあたり横顔やお顔の正面のレントゲン写真を撮影します。この写真をセファログラムと言います。このセファログラムを撮影することで精度の高い診査・診断をすることが可能となり、患者様に質の高い矯正治療を行うことが出来ます。




患者樣一人一人に合わせた治療方法をご提案
| 診療時間 | 月 | 火 | 水 | 木 | 金 | 土 | 日 | |
|---|---|---|---|---|---|---|---|---|
| 09:30~17:30 | ● | ● | ● | - | ● | ● | - |
※休診日:木曜・日曜・祝日

〒587-0002
大阪府堺市美原区黒山1008番地
ビバモール美原南インター メディカルゾーン2F
電車でお越しの方
近鉄「河内松原駅」より
近鉄バスで「国道黒山」下車徒歩1分
車でお越しの方
岸和田方面から阪和道美原南ICより約3分


〒587-0002
大阪府堺市美原区黒山1008番地
ビバモール美原南インター
メディカルゾーン2F
tel. 072-343-9898

〒590-0144
大阪府堺市南区赤坂台2-5-2
赤坂台近隣センター内tel. 072-290-5518