前歯のがたつき(叢生)が気になる
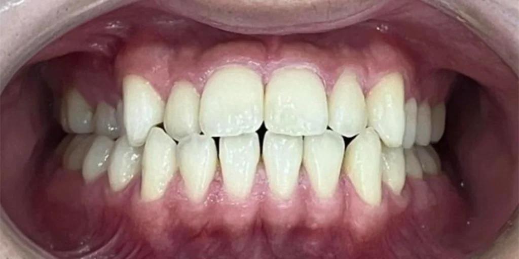
マウスピース矯正症例紹介 今回ご紹介する患者様は、前歯のがたつき(叢生)を気にされており永久歯が並ぶ為に必要なスペースよりも顎の大きさが小さい為、将来的に叢生が解消することは困難と予想され、拡大矯正装置により歯列弓を拡大することで永久歯交換スペースを確保しました。 現在、永久歯への交換期のため保定で経過観察中です。 治療前後の比較 術前:正面 術後:正面 術前:右側 術後:右側 術前:左側 術後:左側 術前:上顎 術後:上顎 術前:下顎 術後:下顎 主訴 前歯のがたつき(叢生)が気になる 治療期間 10ヶ月 治療費用 44万円(税込) 治療内容 前歯のがたつき(叢生)を気にされており永久歯が並ぶ為に必要なスペースよりも顎の大きさが小さい為、将来的に叢生が解消することは困難と予想され、拡大矯正装置により歯列弓を拡大することで永久歯交換スペースを確保しました。現在、永久歯への交換期のため保定で経過観察中です。 リスク・副作用 ・床拡大装置は装置の大きさから初めの数日は違和感と発音のしづらさがあるが数日で慣れることが多いです。・取り外し可能なので装着時間が重要になり患者様の協力度で矯正治療期間に大きく影響します、歯牙への適合も重要であるため、保護者の確認や管理が不可欠です。
2025.11.07




