2026.03.10
CLINIC INFORMATION
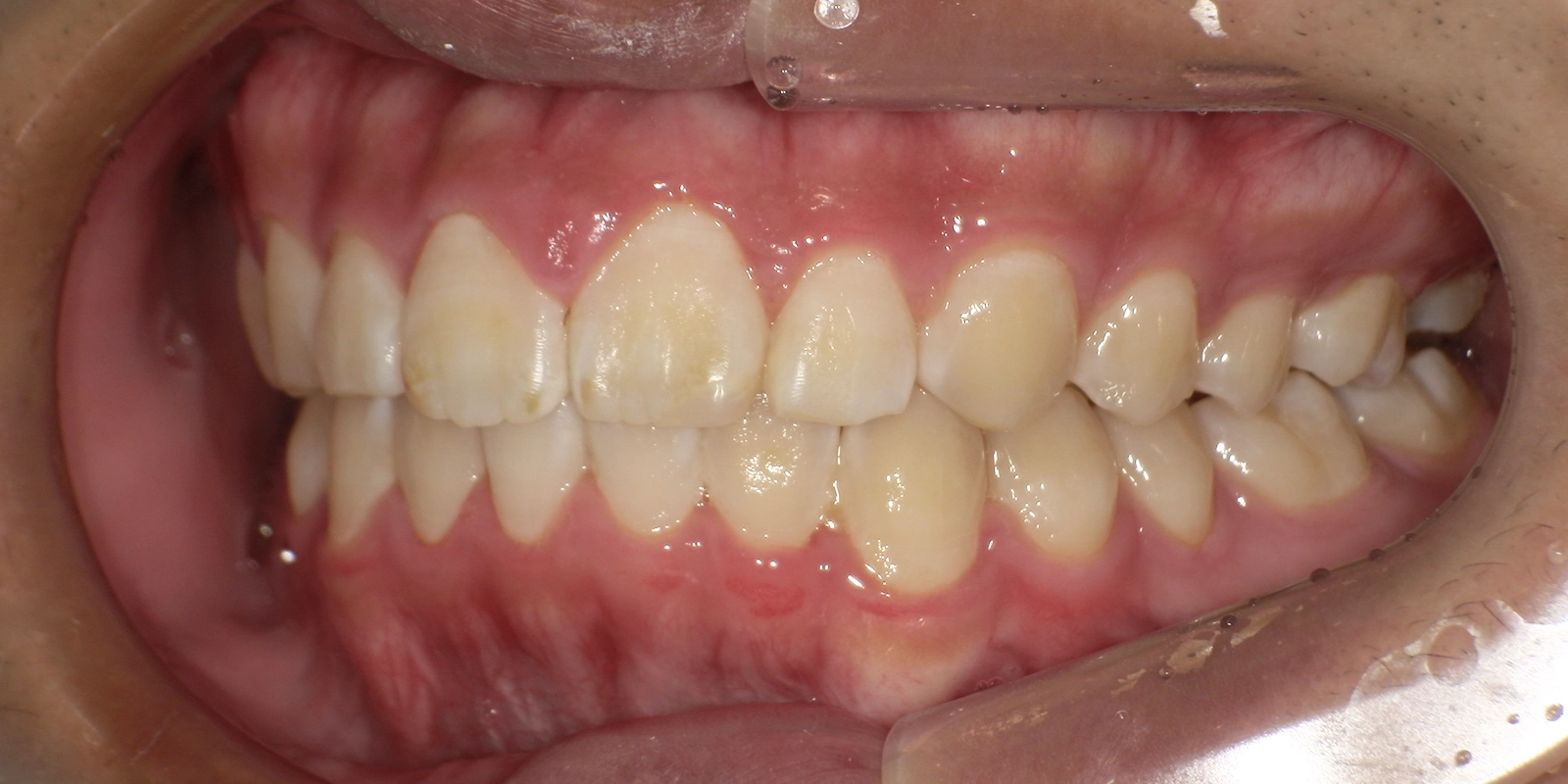
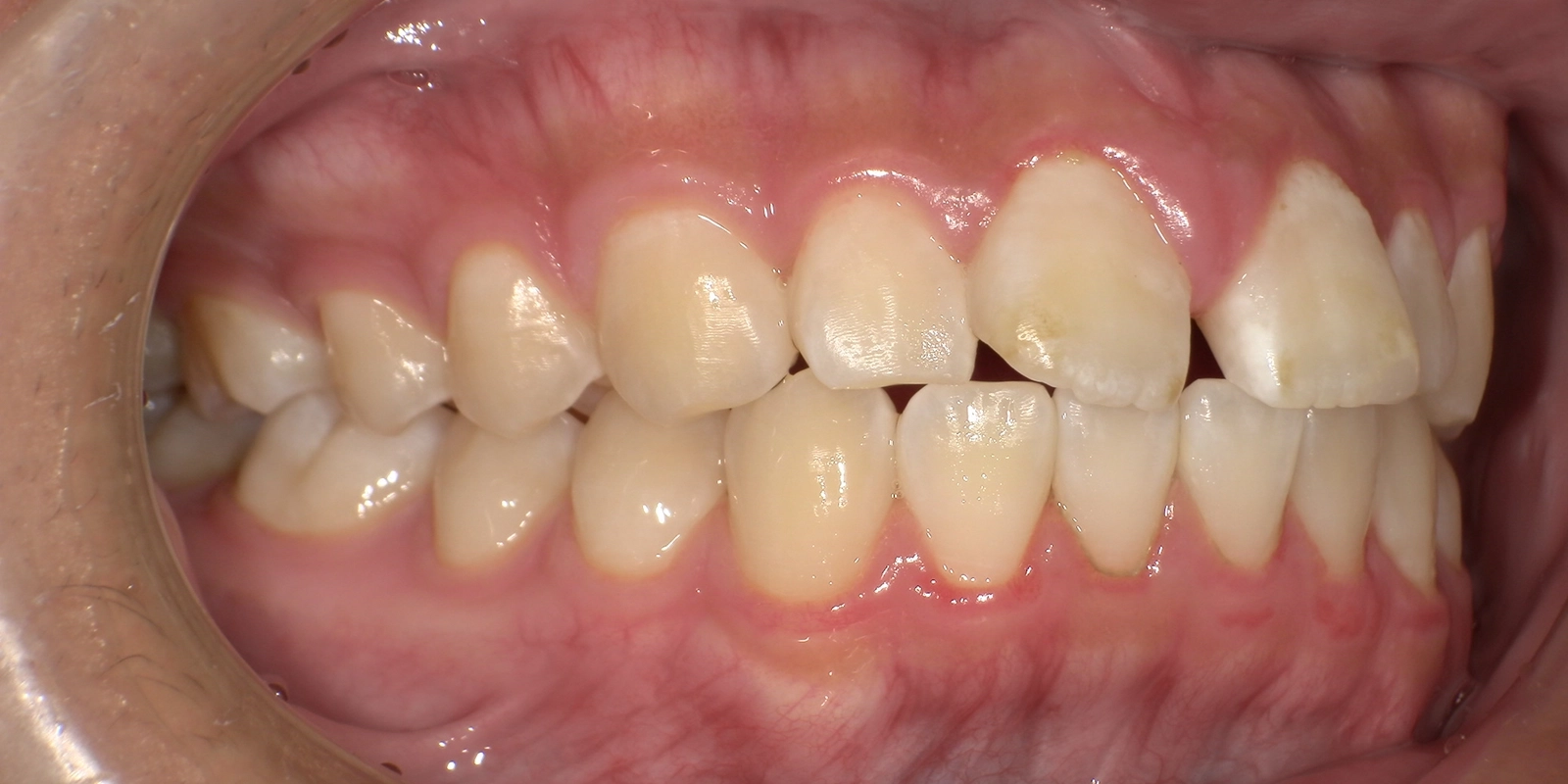
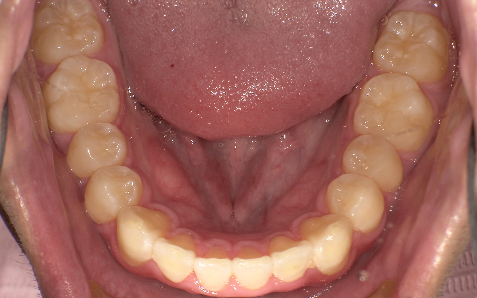
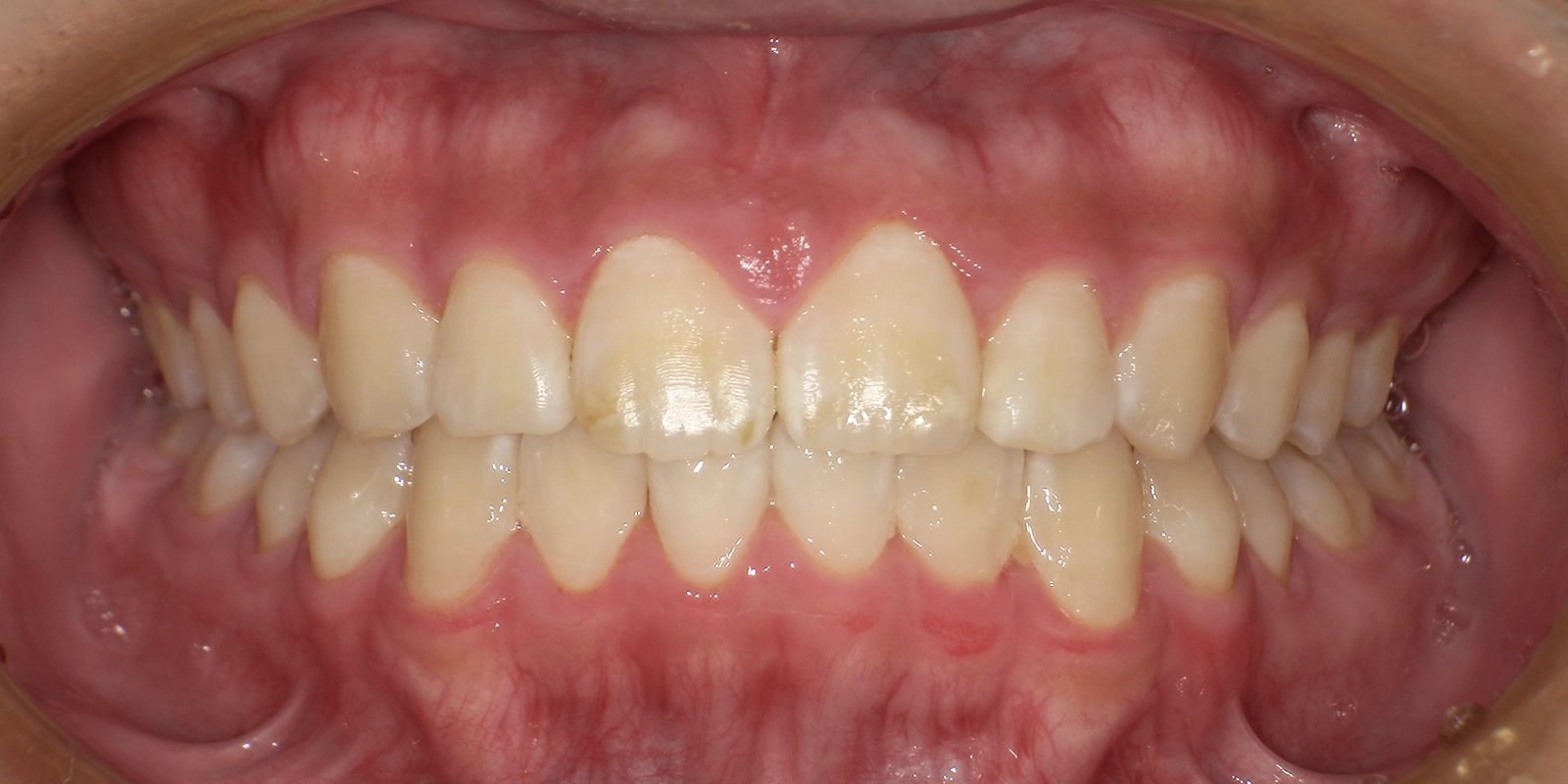
患者樣一人一人に合わせた治療方法をご提案
| 診療時間 | 月 | 火 | 水 | 木 | 金 | 土 | 日 | |
|---|---|---|---|---|---|---|---|---|
| 09:30~17:30 | ● | ● | ● | - | ● | ● | - |
※休診日:木曜・日曜・祝日

〒587-0002
大阪府堺市美原区黒山1008番地
ビバモール美原南インター メディカルゾーン2F
-
電車でお越しの方
近鉄「河内松原駅」より
近鉄バスで「国道黒山」下車徒歩1分 -
車でお越しの方
岸和田方面から阪和道美原南ICより約3分
-


〒587-0002
大阪府堺市美原区黒山1008番地
ビバモール美原南インター
メディカルゾーン2F tel. 072-343-9898 -

〒590-0144
大阪府堺市南区赤坂台2-5-2
赤坂台近隣センター内tel. 072-290-5518
